안녕하세요.
웨스턴동물의료센터 입니다. 😊
영상진단팀 지서연 부장님의 연구가 SCIE 등재 국제 학술지에 게재되었다는 소식을 전해드립니다.
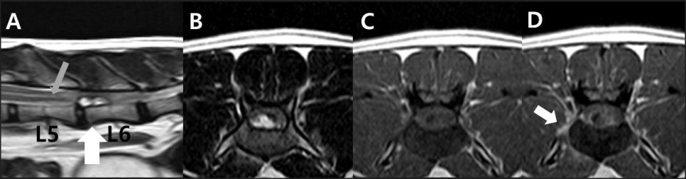
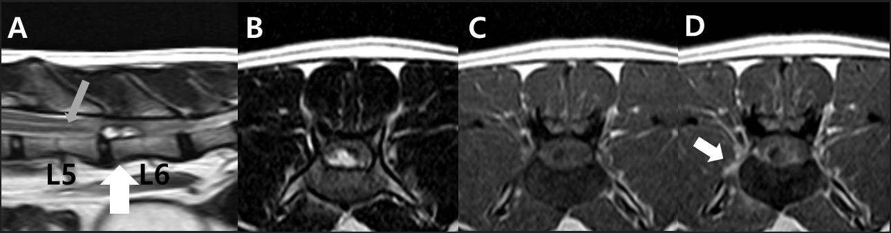
고양이 척수 경막외 섬유성 수막종의 MRI 단면
이번 연구는 고양이에서 발생한 척수 경막외 수막종(Spinal Extradural Meningioma) 사례를 통해, 요추 디스크 질환으로 오인될 수 있는 척수 종양의 감별 진단 과정과 임상적 의미를 다룬 증례 보고(case report)입니다.
척수 경막외 수막종은 임상 증상이 디스크 질환과 유사하게 나타날 수 있어 정확한 영상 진단과 임상적 판단이 매우 중요한 질환입니다.
이번 연구는 실제 임상 사례를 기반으로 영상 진단을 통한 감별 과정과 치료 방향 설정의 중요성을 제시하며, 임상 현장에서 참고할 수 있는 의미 있는 사례를 제시했습니다.

특히 이번 연구에는 홍연정 대표원장님이 신경외과 임상 경험을 바탕으로 진단과 수술 접근 전략 수립에 참여하며, 영상 진단과 외과적 판단이 결합된 다학제 협진의 중요성을 함께 보여주었습니다.
영상 진단, 외과적 판단, 임상 경험이 유기적으로 연결될 때 보다 정확한 진단과 안전한 치료가 가능하다는 점을 다시 한번 확인한 연구이기도 합니다.
웨스턴동물의료센터는 앞으로도 임상 현장에서 축적된 경험을 바탕으로 연구와 학술 활동을 지속하며, 반려동물 의료의 발전과 수의학 학술 분야에 기여해 나가겠습니다.